Sapi adalah salah satu komoditas unggul di beberapa negara termasuk Indonesia. Banyak orang memelihara sapi sebagai hewan ternak yaitu untuk diambil susunya dan diambil dagingnya sebagai makanan sehari-hari. Selain menjadi hewan ternak, sapi juga sangat bermanfaat bagi manusia karena dapat dijadikan sebagai hewan pekerja. Secara umum penyakit hewan adalah segala sesuatu yang menyebabkan hewan menjadi tidak sehat, termasuk masalah ataupun gangguan reproduksi.Beberapa kasus gangguan reproduksi yang sering terjadi pada sapi betina diantaranya adalah maserasi, mumifikasi, hipofungsi, kista ovari, brucellosis, retensi plasenta, dan lain-lain. Tulisan ini akan membahas salah satu topik gangguan reproduski, yaitu mumifikasi.
Mumifikasi merupakan kejadian kematian fetus dalam uterus tanpa disertai
pencemaran mikroorganisme, disertai dengan penyerapan cairan
fetus oleh dinding uterus setelah terjadi proses autolisis
sehingga tubuh fetus menjadi kering dan keras, serta diikuti dengan proses involusi uteri yang normal, sering terjadi pada
umur kebuntingan 5-7
bulan (Jainudeen dan Hafez 2000). Mumifikasi
merupakan kondisi dimana terdapat jaringan mati/mengerut, seperti gangren yang
kering, atau kematian fetus yang dipertahankan (Dorlan 2007). Mumifikasi fetus merupakan kondisi yang tidak biasa terjadi
pada kondisi normal dan kejadian
mumifikasi ini tidak lebih dari 2 %. Menurut Arthur et al. (1996), insidensi mumifikasi fetus pada sapi berkisar antara
0.13% hingga 1.8%. Mumifikasi fetus pernah dilaporkan pada beberapa spesies,
diantaranya adalah kambing, domba, kuda, babi, anjing dan kucing. Namun
kejadian mumifikasi terbesar terjadi pada sapi (Lefebvre et al. 2009). Mumifikasi fetus sapi
dapat dianggap sebagai kecelakaan gestational dan dapat terjadi secara sporadis
baik sapi lokal maupun ternak eksotis dan persilangannya (Jana dan Ghosh 2014).
Penyebab mumifikasi dapat berasal dari agen infeksius maupun non infeksius. Mumifikasi
akibat infeksi agen infeksius dapat bearsal dari agen menular seperti Campylobacter, jamur,leptos priosis dan virus BVD-MD yang menyebabkan kematian fetus tanpa aborsi dan memungkinkan
kejadian mumifikasi pada sapi (Drost 2007). Sedangkan mumifikasi yang terjadi bukankarena agen infeksius bisa diakibatkan oleh faktor mekanik, diantaranya adalah kompresi dan atau torsio umbilical cord (Mahajan dan Sharma 2002), torsio uterus (Moore dan Richardson 1995),cacat plasenta (Irons 1999), anomali genetik (Stevens dan King 1968),serta ketidaknormalan hormone dan kromosom (Roberts 1986).
akibat infeksi agen infeksius dapat bearsal dari agen menular seperti Campylobacter, jamur,leptos priosis dan virus BVD-MD yang menyebabkan kematian fetus tanpa aborsi dan memungkinkan
kejadian mumifikasi pada sapi (Drost 2007). Sedangkan mumifikasi yang terjadi bukankarena agen infeksius bisa diakibatkan oleh faktor mekanik, diantaranya adalah kompresi dan atau torsio umbilical cord (Mahajan dan Sharma 2002), torsio uterus (Moore dan Richardson 1995),cacat plasenta (Irons 1999), anomali genetik (Stevens dan King 1968),serta ketidaknormalan hormone dan kromosom (Roberts 1986).
Terdapat dua tipe mumifikasi, yaitu
tipe hematik dan tipe papyraceous. Mumifikasi tipe
hematik terjadi dengan hadirnya mekanisme pendarahan dengan derajat tertentu
pada endometrium dan membran fetalis. Mumfikiasi tipe hematik pada sapi dapat
terjadi pada semua umur dan dapat terjadi pada satu fetus maupun dua fetus
(pada kebuntingan yang sama). Mumifikasi tipe hematik dapat terjadi setelah
kematian fetus pada usia 3 sampai 8 bulan kebuntingan. Hal ini terjadi karena
tidak ada sinyal untuk parus fetus karena korpus luteum tetap dipertahankan.
Sehingga masa kebuntingan akan
diperpanjang. Kondisi seperti ini bisa didiagnosa ketika sapi mengalami masa
kebuntingan yang berkepanjangan (Arthur et
al. 1996). Sedanglan tipe mumifikasi papyraceous biasa digunakan untuk
menggambarkan mumi fetus yang masih tertahan bersamaan dengan fetus lain yang
masih hidup (Dahiya dan Bains 2014). Secara umum mumifikasi tipe
papyraceous ditandai dengan adanya
kelahiran fetus dengan keadaan mati kering terbungkus oleh selubung fetus yang
mengkilat.
Mumifikasi tipe hematik dan
papyraceous dapat dilihat pada Gambar 1a dan 1b.
Gambar 1a. Papyraceous fetus sapi (Usharani et al. 2015)
Gambar 1b. Mumifikasi fetus tipe hematik pada sapi ( Katiyar et al. 2015)
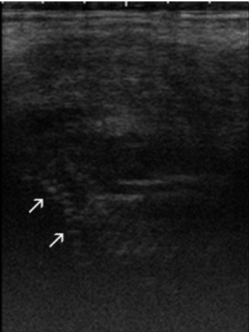
Mumifikasifetus merupakan kasus gangguan reproduksi yang tidak mudah untuk diketahui secara langsung. Gangguan ini memerlukan pemeriksaan untuk mengonfirmasinya.Beberapa pemeriksaan yang bisa diaplikasikan pada kasus gangguan reproduksi adalah palpasi perectal (Jainudeen dan
Hafez 2000), transrectal ultrasonografi (USG) (Yilmaz
et al. 2011) , x-ray (Dahiya dan
Bains 2014). Berikut adalah hasil pemeriksaan x-ray dan USG pada mumifikasi
fetus (Gambar 2a dan 2b).et al. 2011) , x-ray (Dahiya dan Bains 2014). Berikut adalah hasil pemeriksaan x-ray dan USG pada mumifikasifetus (Gambar 2a dan 2b).
Gambar 2a. Radiografi papyraceous fetus (Dahiya dan Bains 2014)
Gambar 2b.
Ultrasonografi dari fragmen tulang
dari mumifikasi fetus sapi
FH usia 5 tahun (Yilmaz et al. 2011)
Salah satu penanganan kasus mumifikasi adalah dengan melakukan ekspulsi fetus, dibantu
dengan injeksi estrogen,
oksitosin dan prostaglandin secara
intramuskular. Setelah serviks membuka ditambahkan cairan obstetrical
lubricant sebanyak 10-20 liter secara intra uterine lalu dilakukan penarikan
secara manual. Menurut Kumaresan et al.
(2013) pemberian estradiol dosis rendah kombinasi dengan prostaglandin
merupakan terapi yang efektif untuk kejadian mumifikasi pada fetus dan tidak
mengganggu kesuburan sapi pada masa kedepannya. Selain itu,
modifikasi pemberian prostaglandin F2α dan histerotomi juga dapat diaplikasikan
pada kasus ini (Lefebvre et al.
2009). Berikut adalah alur penanganan kasus mumifikasi yang diadopsi dari
Lefebvre et al. (2009):
Tindakan medis dan tindakan bedah merupakan pendekatan
yang baik untuk menangani kasus mumifikasi
pada hewan yang mempunyai rasio kebuntingan normal (Lefebvre et al. 2009).Pada
sapi yang mempunyai sejarah mengalami mumifikasi fetus, pemeriksaan histologi
diperlukan untuk mengetahui keutuhan epitel dan kelenjar uterus serta tidak
adanya tanda inflamasi (Frazer
2009). Karena
tidak adanya penyebab khusus yang terkait dengan mumifikasi janin, penting
untuk menjaga kondisi sanitasi yang baik dan program vaksinasi. Sebuah program
monitoring reproduksi yang ketat
juga penting untuk dilaksanakan (Lefebvre 2015).
Daftar Pustaka
Jana D dan Ghosh M. 2014. Foetal mummification owing to severe thermal burn in an indigenous cow. Explor Anim Med Res. 4(1): 121-123.
Katiyar R, Sacchan SSD, Manzoor M, Rautela R, Pandey N, Prasad S, Gupta HP. 2015. Haematic foetal mummification in Sahiwal cow: case report. Journal of Livestock Science. 6: 44-46.
Lefebvre RC, Saint-Hilaire E, Morin I, Couto GB, Francoz D, Babkine M. 2009. Retrospective case study of fetal mummification in cows that did not respond to prostaglandin F2α Treatment. The Canadian Veterinary Jurnal. 50: 71-76.
Mahajan M dan Sharma A. 2002. Haematic mummification due to umbilical cord torsion in a cow: A case report. Ind vet J. 79:1186-1187.
Moore AA dan Richardson GF. 1995. Uterine torsion and fetal mummification in a cow. Can J Vet. 36:705-706.
Roberts SJ. 1986. Veterinary Obstetric and Genital Diseases 3rd ed. Vermont, Woodstock. Hlm 213-217.
Stevens RW dan King GJ. 1968. Genetic evidence for a lethal mutation in Holstein-Friesian cattle. J Hered. 59: 366-368.
Usharani N, Joshi SD, Veena D. 2015. Fetus papyraceous: A rare report and review of literature. International Journal of Scientific Study. 3(4): 184-187.
Yilmaz O, Celik HA, Yazici E, Ucar M. 2011. Twin mummified foetuses in a Holstein Friesian cow: a case report. Veterinarni Medicina. 56(11): 573-576.
Frazer GS.2009. Obstetrics Part 1. Pregnancy complications in the cows. Poster presented at: Proceedings of the North American Veterinary Conference; January 17–21; Orlando,FL.
Arthur
GH, Noakes DE, Person H, Parkinson TJ. 1996. Sequelae to embryonic or foetal
death. In:Veterinary
Reproduction and Obstetrics. 7th ed. Philadelphia: WB Saunders. pp.127-128.
Dahiya
P dan Bains R. 2014. Conservative management of fetus papyraceous: A report two
cases. Oman Medical Journal. 29(2): 132-134.
Dorlan
WAN.2007. Dorland’s Medical Dictionary for Health Consumers. Philadelphia: WB Saunders.
Drost
M. 2007. Complications during gestation in the cow. Theriogenol. 8: 487-491.
Irons
PC. 1999. Hysterotomy by a colpotomy approach for treatment of foetal
mummification in a cow. J S
Afr Vet Assoc. 70: 127-129.
Jainudeen MR dan Hafez ESE. 2000. Reproduction Failure in Females. Di dalam: Hafez ESE, editor.
Reproduction in Farm Animal 7th Edition.
South Carolina: Reproduction Health Center.
Kumaresan A, Chand S, Suresh S. 2013.
Effect of estradiol and cloprostenol combination therapy on expulsion of
mummified fetus and subsequent fertility in four crossbred cows.Veterinary
Research Forum. 4(2): 85-89.
Lefebvre RC. 2015. Fetal mummification in the major
domestic species: current perspectives on causes and management. Veterinary Medicine: Research and
Reports:6:233-244.





Tidak ada komentar:
Posting Komentar